29/12/2020

Confira as descobertas científicas mais impressionantes de 2020

Com o trabalho incessante em busca por uma vacina eficaz e segura contra a covid-19 em tempo recorde, outros eventos importantes podem ter passado despercebidos. Pensando nisso, o R7 realizou uma curadoria das descobertas científicas mais impressionantes de 2020. Confira

*Estagiária do R7 sob supervisão de Pablo Marques

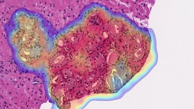
Pesquisadores da Universidade de Pittsburgh, na Pensilvânia, nos Estados Unidos, desenvolveram o primeiro sistema de inteligência artificial (IA) a se estender além da detecção do câncer, com alto desempenho para classificação e dimensão do tumor. Ao longo dos testes, a tecnologia se mostrou capaz de identificar a doença 98% de sensibilidade e 97% de especificidade

Para isso, foram coletadas mais de um milhão de imagens de partes de lâminas de tecido tingido retiradas de biopsias de pacientes (imagem acima). Cada imagem foi classificada por patologistas especializados para ensinar a IA como diferenciar os tecidos saudáveis dos anormais

Cientistas australianos que navegavam na extremidade norte da Grande Barreira de Corais da Austrália a bordo de um navio de pesquisa da Schmidt Ocean Institute (SOI), sediada nos Estados Unidos, descobriu um arranha-céus de corais com cerca de 500m de altura – mais alto que o edifício Empire State, em Nova York. Um robô subaquático foi usado para explorá-lo (imagem acima)

Segundo especialistas, trata-se da primeira descoberta do tipo em 120 anos. A diretora-executiva da SOI, Jyotika Virmani, acredita que os dados de mapeamento e imagens subaquáticas ajudarão a entender este novo recife e seu papel dentro de seu ecossistema

Uma pesquisa liderada por estudiosos do St. Johns College, da Universidade de Cambridge e da Universidade de Copenhagen, desafiou a teoria comumente aceita de que o povo Clovis foi o primeiro habitante humano das Américas, há 15 mil anos  

Eles analisaram o DNA de sedimentos coletados da caverna de Chiquiuite, situada em um uma área montanhosa no norte do México, e descobriram que, na realidade, os humanos visitaram o local 30 mil anos atrás

Cientistas do Instituto Francis Crick e da Universidade de Oxford, ambos no Reino Unido, da Universidade de Viena, na Áustria, e arqueólogos de mais de dez países descobriram que os cachorros se dividem em raças desde a Era do Gelo, há 11 mil anos

A conclusão foi obtida por meio do sequenciamento de 27 genomas de cães antigos, que apontou que quando a Idade do Gelo terminou, havia pelo menos cinco tipos diferentes do animal

Os estudantes Jesse Martin e Angelina Leece, ambos da Univeresidade La Trobe, na Austrália, encontraram a primeira caixa craniana de um Homo erectus já encontrada na África Austral. Estima-se que o fóssil tenha cerca de 2 milhões de anos e seja o mais antigo vestígio deste antepassado humano

A descoberta contribuirá fortemente para o aprofundamento dos estudos de nossa árvore genealógica

Pesquisadores do Instituto do Câncer da Holanda identificaram um novo conjunto de órgãos no corpo humano: um quarto par de glândulas salivares, localizadas atrás do nariz, no encontro com a garganta

Se o achado for comprovado como verdadeiro, essa glândula oculta seria a primeira identificação desse tipo em cerca de 300 anos

Físicos da Organização Europeia para Pesquisa Nuclear (CERN, na sigla em inglês), o maior laboratório de física de partículas do mundo, descobriram um novo tipo de partícula de quatro quarks – um dos elementos básicos que formam a matéria – nunca visto antes

A descoberta ajudará os cientistas a entender melhor as maneiras complexas pelas quais os quarks se unem em partículas compostas, como os prótons e nêutrons onipresentes que são encontrados dentro dos núcleos atômicos

Por fim, um estudo liderado pelo curador de dinossauros do Museu de Paleontologia Royal Tyrrel, no Canadá, descobriu que a última refeição de um dinossauro blindado com 110 milhões de anos, descoberto em 2011, ainda permanece intacta em seu estômago

Embora seja apenas uma bola de vegetação fossilizada, a descoberta fornece uma visão excepcional das horas finais de uma criatura que viveu há mais de 100 milhões de anos  

0 comentários:

Enviar um comentário