03/01/2020

Sistema do Google pode melhorar detecção de câncer de mama

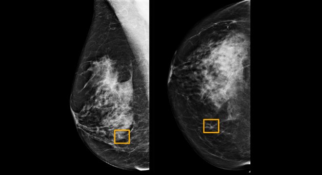
Radiologistas tendem a não detectar cerca de 20% dos casos de câncer de mama
Radiologistas tendem a não detectar cerca de 20% dos casos de câncer de mama Northwestern University/Divulgação via Reuters

Um sistema de inteligência artificial do Google se mostrou eficaz como um radiologista experiente ao detectar que mulheres tinham câncer de mama com base em exames de mamografias, representando uma promessa de melhora na redução de erros, afirmaram pesquisadores nos Estados Unidos e Reino Unido.

A pesquisa, publicada na revista científica Nature na quarta-feira, é a mais recente a mostrar que a tecnologia de inteligência artificial tem o potencial de melhorar a precisão de exames de câncer de mama, que afeta uma em cada oito mulheres no mundo.

Radiologistas tendem a não detectar cerca de 20% dos casos de câncer de mama em mamografias, afirma a Sociedade Americana do Câncer, e metade de todas as mulheres que passam por exames no período de 10 anos recebem um resultado falso positivo.

As conclusões da pesquisa, desenvolvida com a unidade DeepMind AI, do Google, representam um grande avanço no potencial para a detecção precoce do câncer de mama, afirmou Mozziyar Etemadi, um dos co-autores da pesquisa e que trabalha na Northwestern Medicine em Chicago.

A equipe de pesquisadores, que inclui cientistas do Imperial College London e do Serviço Nacional de Saúde do Reino Unido, treinaram o sistema do Google para identificar câncer de mama em dezenas de milhares de mamografias.

Eles então compararam a performance do sistema com os diagnósticos dados aos exames, formados por um conjunto de 25.856 mamografias realizadas no Reino Unido e 3.097 realizadas nos Estados Unidos.

O estudo mostrou que o sistema de IA do Google conseguiu identificar casos de câncer com um grau similar de precisão atribuído a radiologistas experientes. O sistema conseguiu também reduzir o número de resultados falsos positivos em 5,7% no caso dos exames norte-americanos e em 1,2% no caso dos exames britânicos.

A tecnologia também reduziu o número de falsos negativos, que ocorrem quando os exames são diagnosticados erradamente como mostrando normalidade. A redução foi de 9,4% no caso do grupo de exames feitos nos EUA e em 2,7% no caso britânico.

As diferenças refletem as diferentes formas como as mamografias são lidas em ambos os países. Nos EUA, apenas um radiologista avalia os resultados e os testes são feitos a cada um a dois anos. Na Inglaterra os exames são feitos a cada três anos e cada teste é lido por dois radiologistas. Quando eles não concordam entre si, um terceiro é chamado para avaliar o caso.

0 comentários:

Enviar um comentário